GENERAL HEALTHCARE
City skyline
Chiropractic Adjustments
Dr. Shane and Dr. Chandler specialize in many different techniques depending on the patients needs. They can adjust multiple different ways to accommodate the patient. They also can do gentle techniques. The doctors will find a comfortable way to help you heal!
City skyline
Extremity Adjustments
The doctors can assess if there is an extremity misalignment. Knees, ankles, feet, shoulders, elbows, and wrists are commonly adjusted.
City skyline
Nutritional Supplements
Nutritional supplements have been shown to play a role in the long-term health of heart, bones, joints, eyes, nervous system, and immune system. We have many nutritional supplements for your specific needs. We can even muscle test you to find out which one is right for you.
City skyline
Sport Injury Treatment
We help in the restoration of proper joint function of the spine or extremities, and the strengthening of support muscles and soft tissues. This usually involves specific spinal or other joint adjustments, combined with a program of strengthening, resistance training, and exercises to improve muscle tone and coordination.
City skyline
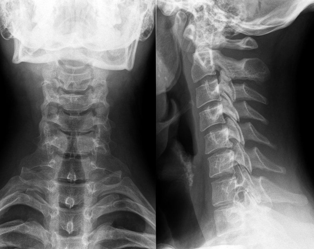
Digital X-Rays
Spinal or chiropractic digital x-rays help your doctor determine the cause of a specific patient’s problem.
City skyline
DOT Exams
We perform the standard DOT exam for anybody who operates commercial motor vehicles.
MASSAGE SERVICES
City skyline
Deep Tissue
Deep tissue massage targets chronic pain, knots, and injuries with firm pressure and focused, intense work on deeper muscle layers.
City skyline
Sports
A targeted therapy for active people, using deep tissue manipulation and dynamic stretching to improve performance, prevent injuries, and speed recovery by increasing circulation, reducing muscle tension, and improving flexibility.
City skyline
Prenatal
A therapeutic massage specifically designed for pregnant individuals, using modified techniques, positioning (like side-lying with pillows), and sometimes lighter pressure to safely relieve pregnancy discomforts such as back pain, swollen legs, and stress, focusing on areas like the lower back, hips, and shoulders while avoiding certain pressure points and deep abdominal work.
City skyline
Swedish
A massage service used for relaxation with long, gentle strokes and light pressure, ideal for stress relief.
City skyline
Hot Stones
Hot stone massages use smooth, heated volcanic stones (usually basalt) placed on the body or used by the therapist to apply deep heat, relaxing muscles, improving circulation, easing pain and stiffness, and promoting deep relaxation by allowing for deeper pressure without discomfort.
City skyline
Cupping
Cupping is a form of bodywork that uses suction cups placed on the skin to help relieve muscle tension and promote circulation.
City skyline
Cranial Sacral
A gentle, hands-on bodywork technique that uses light touch on the skull, spine, and pelvis to improve the function of the body's craniosacral system.
OTHER SERVICES
City skyline
Nutritional Muscle Testing
The Dr. will assess neuro-lymphatic points on the body (they are like acupuncture points) and find the points that are tender. These points correlate with organs and glands in the body.
City skyline
Acupuncture
Acupuncture is the use of thin needles placed in precise points on the body to promote healing. It is an ancient Chinese technique.
City skyline
QiGong Meditation
Qigong is a very easy way for one to help heal themselves. It is involved with deep, slow breathing and a little focus. That's it! Mediation can help you process any emotional stress. It can also strengthen your spirituality.
City skyline
IASTM
Instrument Assisted Soft Tissue Mobilization - is a technique that uses stainless steel instruments with a beveled edge that breaks up the fibrotic tissue or scar tissue and restores blood back to the area. This brings more oxygen and nutrients to the area to help the tissue heal more efficiently.
City skyline
Nasal Release Technique
Is a comfortable technique where a small balloon is placed in the nasal cavity and slightly inflated. The purpose of this is to move any displaced bones back into their proper position and open nasal canals.



















